「Movement Longevity / 動きの健康寿命」対面イベント・参加費は¥1,650〜 詳細はこちら

クローリングと脳の再教育

機能不全や身体構造、脳の機能は変えることができないと思い込んでいませんか?キネティコスの新しいコンテンツ提供者である、美しく強く賢明なドクター キャシー・ドゥーリーのビデオをご覧ください。

キャシー・ドゥリー 4:08

イマキュレートダイセクション:大腿筋膜張筋

皮膚の上に描かれた解剖図を活用して解剖学を学ぶイマキュレートダイセクション(きれいな解剖)。セミナー準備中のドクタードゥリーが、大腿筋膜張筋の働きに関して解説するビデオご覧ください。こんなクラスが受けられるといいですね。

キャシー・ドゥリー 4:37

肩の安定性のためのアームバー

肩や肩甲骨周辺の痛みに対して、何度もマッサージやセルフリリース等の軟部組織のアプローチを繰り返しても、痛みが戻ってくる経験を持つ人はいませんか?問題がモビリティー不足ではなく安定性不足にある場合、長期的解決策はリリースではなく強化かもしれません。

キャシー・ドゥリー 3:36

骨盤のロッキング

骨盤底の弛緩や過緊張をケアするために、全く同じポジションでキューイングのタイミングを対象者に合わせて変化させることで効果的に行うことができるエクササイズのポイントを、Dr.ドゥーリーがご紹介します。

キャシー・ドゥリー 4:39

パームプロップ/手のひらで支える

肩が持ち上がったり、背中の中間部の伸展が不足したりする人の方の安定性を助けるために、シンプルながら効果的な自重でのエクササイズを、Dr・ドゥーリーがご紹介します。

キャシー・ドゥリー 3:24

足趾伸展を向上させる

実際に解剖することなく、皮膚の表面に詳細で美しい解剖図を描いて解剖学を指導するイマキュレートダイセクションコース準備中のDr.ドゥーリーが、下腿部前部の筋群の活性化の方法をご紹介します。

キャシー・ドゥリー 5:15

モディファイドスーパーマン

椎間板ヘルニア発症後など、腰に痛みがあるときに萎縮しがちな腰部多裂筋を強化するためのスーパーマンエクササイズは、赤ちゃんが体を支えるような形で始まります。カイロプラクティックドクターのキャシー・ドゥーリーが紹介する多裂筋強化のエクササイズをお試しください。

キャシー・ドゥリー 3:29

腹直筋離開

腹直筋が白線を中心として左右に分離してしまう腹直筋離開。治療法として、どのようなエクササイズを使用しているでしょうか?ドクタードゥーリーが、綺麗に描かれた腹筋群を使って、わかりやすく解説をします。

キャシー・ドゥリー 4:21

足趾の圧縮を緩める

外反母趾と呼ばれる足趾の変形が起きている場合に、足趾の軸方向への牽引をすることで周辺組織へのストレスを軽減する簡単な方法をDr.キャシー・ドゥリーがご紹介します。ぜひお試しください。

キャシー・ドゥリー 4:09

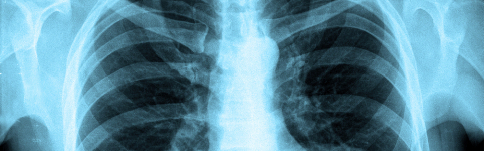
肺腫瘍を思い出して

今日アインシュタイン医科大学のラボグループから、解剖献体の心膜を取り出す助けをして欲しいという連絡が入りました。 彼らが見せてくれたのは、心臓を包む膜である心膜に癒着した左肺の腫瘍でした。 一瞬ショックで心臓が止まりそうになりましたが、深く息を吐いて落ち着きを取り戻しました。 その腫瘍が2年前、私の父の命を奪おうとした腫瘍と全く同じ部位で全く同じタイプのものだったのです。 瘢痕組織の繊維性の塊を漉すようにしてみると、横隔神経と動脈が瘢痕組織によって圧迫されている様子に驚きました。 肺の入り口である肺門を瘢痕組織の塊が取り巻いていて、肺に出入りする空気や血液の流れを阻害しているのが見て取れました。 気管と食道を詰まらせていた、塊の縦隔後部への浸潤を観察しました。 私に父が最も具合が悪かった時、食べられず、呼吸もできず、血液循環も適切に起こっていなかった時の病理の解剖学的結果を見たわけです。 そして今、解剖学に対してではなく私の父に対して、全く新たな認識を得ました。 腫瘍は父の心膜を圧迫し、彼の気道と血液を詰まらせました。そして父は腫瘍を叩きのめしたのです。 私は生徒達に、私が2013年の7月に両親に電話をした時の話をしました。父の良く響く楽しげな声に代わって、しゃがれた声が聞こえてきました。 私は父に、どの位の期間声がしわがれているのかを尋ねると父は“1ヶ月位かな”といったのです。 ドゥーリー ”お父さん、それは正常じゃないわ” 父 “いや、ただの風邪だよ” ドゥリー “お父さん、風邪は1ヶ月も長引かないから” すぐに気づきました。 解剖学を知っていたから。 何かが、彼の声を生み出す筋肉をコントロールする反回神経を圧迫していたのです。 私は、母に父の胸部レントゲンを撮るようにと強く伝えました。 父は、いつまでも私のことを小さい女の子のように見ているので、父がレントゲン写真を撮るように影響するにはかなり強い声と私の姉の影響力も必要でした。 大掛かりな検査が行われ、肺の小さな細胞がんが陽性という結果となりました。この腫瘍は父の気管、食道、大動脈を拳骨のように包み込んでいました。腫瘍は父の前部心膜と左の反回神経も圧迫していました。これが父の声をしわがれさせていたのです。 私達は、父が、今日私が自らの手で解剖したのと同じ癌と戦うのを目撃しました。 決して忘れることはありません。 常にこれらの解剖学の素晴らしさをシェアしていきます。 嗄れ声を真剣に受け止めてください。これは喉頭炎ではなく、炎症を伴わない発声困難と呼ばれるものです。 これに関して何度も書いていますが、こうした解剖学的警告に注意を払い続けます。 重要なことなのです。 いつものしつこい炎症よりも声のしわがれが長引いたら、胸部レントゲンを撮影してください。 レントゲンの放射線被曝は、このケースの場合あなたの命を救うかもしれないのです。 大丈夫と証明されるまで、嗄れ声を真剣に受け止めてください。 あなたが決めることではありますが。

キャシー・ドゥリー 1350字

片脚でのブリッジを向上させる

仰臥位でのグルートブリッジで、腰痛を訴えたり、ハムストリングスの緊張を訴えたりする人も多いのではないでしょうか?ドクター・ドゥーリーが、グルートブリッジでの効果的に大臀筋を活性化する方法をご紹介します。

キャシー・ドゥリー 2:59

仰臥位90/90の呼吸ドリル

仰臥位で踵を椅子やボールの上に置き、股関節も膝も90度に屈曲したポジションでの、呼吸のドリルで腹腔内圧を高めるために効果的なキューイングをドクタードゥーリーがシェアします。ぜひお試しください。

キャシー・ドゥリー 4:48